Microscopic

Skeletal - Calcareous Algae - Chlorophyta (Green algae) (B/15/Ple/En)

2.5x
2.5x cross nicols
2.5x wave plate
5x
5x wave plate
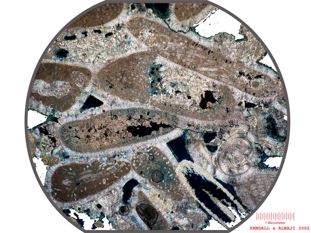
10x
Outstanding feature Startling fibrous aragonite cements coating bioclasts
Folk Classification Halimeda biosparite
Dunham Classification Halimeda grainstone
Common Grains Halimeda, gastropods, and corals
Sorting Well sorted grains
Rounding Well rounded grains
Micritization & envelopes No obvious micrite envelopes
Cement & diagenetic fabric Early fibrous marine crusts enclosed grains
Porosity 30%
Depositional Setting High energy carbonate grain shoal
Diagenetic history Subject to marine cementation

Note that the fibrous cements enclose and coat Halimeda flakes, and other aragonite fossils but tend not to form on the high magnesium calcite foraminifera. Note the varying fill of the tubes in the Halimeda flakes and varying early disolution of some of these grains; sometimes the matrex and sometimes the tubes. Note the micrite perched on some of the fibrous aragonite cements.


Tuesday, July 29, 2025

Tulsa Web Design